
InvisalignIn Gastonia, NC
Ready to love your smile? Skip the metal brackets and straighten your teeth the subtle, comfortable way with Invisalign.
Why should I choose Invisalign?
If you’re ready to stop hiding your smile, Invisalign could be the perfect fit. These clear aligners are made from thin, durable plastic that gently moves your teeth into place — without drawing attention. They’re nearly invisible, smooth, and easy to remove when it’s time to eat, brush, or floss. Enjoy the flexibility you want and the confidence of knowing your new smile is taking shape every day.
Goodbye Goopy Impressions!
Creating your custom Invisalign trays has never been easier thanks to digital scanning. Say goodbye to goopy impression trays and hello to your best smile yet!


Reveal Your Best Smile!
Keep the transformations rolling and take advantage of our whitening special after completing your Invisalign treatment! You’ll have a straight bite and a bright smile to match.
Feel Confident
Look Younger
Save Money
Trusted Care You Can Count On!
Our doctors are Invisalign Certified Providers. You can rest assured that your smile will be getting the industry’s best expertise when you come to our practice.

The Benefits of Invisalign
They’re Removable
Pop out your aligners anytime you need to brush, floss, or enjoy your favorite foods. When you’re done, just put them back in to stay on track.
Exceptional Comfort
Invisalign aligners are crafted from smooth, BPA-free plastic that feels gentle on your teeth and gums. They’re designed to fit so comfortably, you may even forget you’re wearing them.
A Convenient Choice
With Invisalign, you can keep living life as usual. Work, eat, and socialize without the inconvenience or appearance of traditional braces.
The Invisalign Treatment Process
Initial Consultation & Exam
Your Invisalign journey starts with a personalized consultation. You’ll chat with your doctor about your goals, have your teeth and bite evaluated, and learn whether Invisalign is right for you. This visit is the perfect time to ask questions and explore your options.
Aligner Fitting & Pick Up
Once you’re ready to begin, we’ll take precise digital scans or impressions of your teeth. These ensure your aligners are made just for you. When your custom trays arrive, you’ll stop by the office to get them and begin treatment. Some patients may also receive small, tooth-colored attachments that help keep aligners securely in place.
Check-ins
Every 6-8 weeks, you’ll visit us for a quick check-in to monitor your progress and pick up your next set of aligners. Each visit brings you one step closer to the smile you’ve been dreaming of.
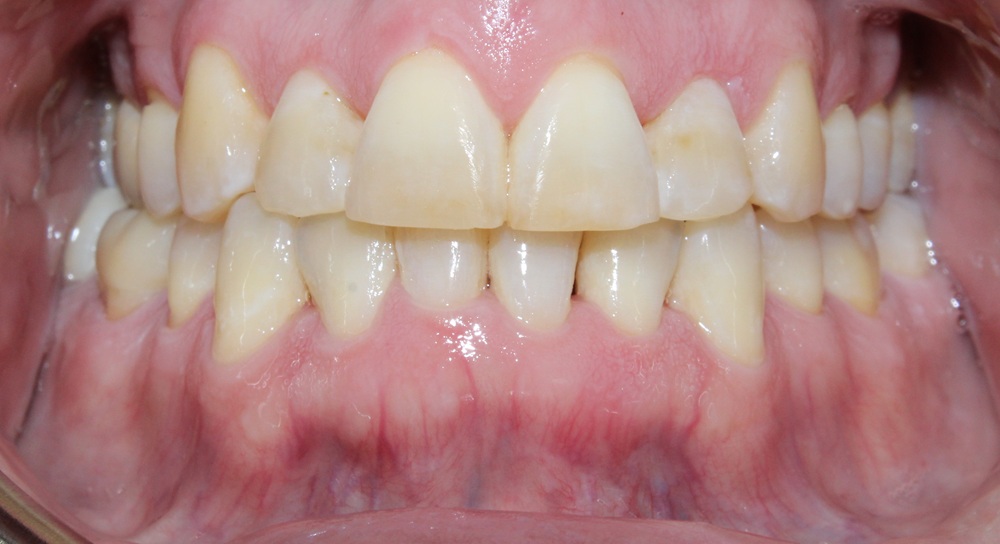
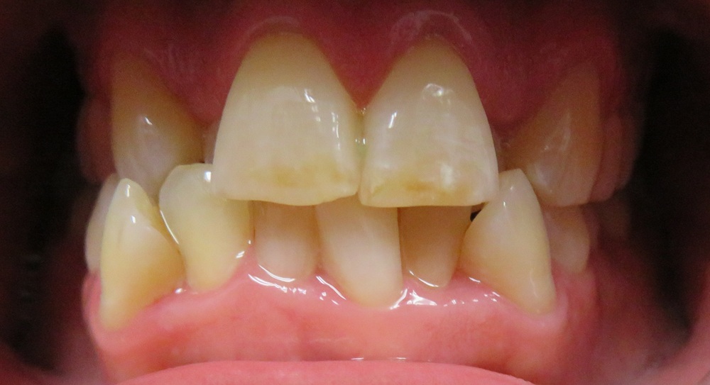
Before & Afters
A smile is worth 1,000 words.
See real patient success stories.


Invisalign
FAQs
Frequently Asked Questions
Check out these frequently asked questions, or call us to speak with our team.
Invisalign works well for many mild to moderate alignment concerns. For more complex orthodontic needs, your doctor may recommend traditional braces. The best way to know for sure is to schedule a consultation so we can evaluate your smile and go over your options.
Most patients find Invisalign more comfortable than braces. You may feel slight pressure or tenderness when starting a new set of aligners — that means your teeth are moving! If discomfort persists, let us know, and we'll provide further recommendations.
Wear your aligners for 20–22 hours each day. Remove them only for meals, snacks, brushing, and flossing. Staying consistent ensures your treatment stays on schedule.
Gently brush your aligners with a soft toothbrush and water to keep them clean. When they’re not in your mouth, store them in their protective case to keep them safe and germ-free.
If your aligners crack or go missing, contact us right away. Delaying a replacement can slow down your progress. We’ll get you a new set quickly so you can stay on track.
Invisalign attachments are small, tooth-colored composite "buttons" or "bumps" that are strategically applied to your teeth during Invisalign treatment. These attachments act as anchors for the trays, allowing for more complex movements than are possible with aligners alone.
Invisalign aligners are crafted from advanced SmartTrack® material, designed to be virtually invisible when worn. The thin, clear plastic conforms closely to your teeth, making them difficult to detect during normal social interactions. To maintain their clarity, avoid consuming anything besides water while wearing aligners, and clean them regularly to prevent staining. Some patients have small tooth-colored attachments that may be slightly more noticeable, but these are still far less visible than traditional braces.
Your treatment starts with digital scans that create a detailed model of your mouth. This model is sent to a specialized lab, where your aligners are designed and produced using advanced CAD/CAM technology. Once they’re made, they’re sent back to your doctor for your fitting appointment.



