
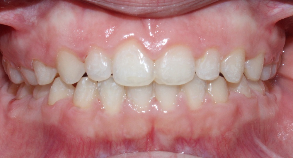
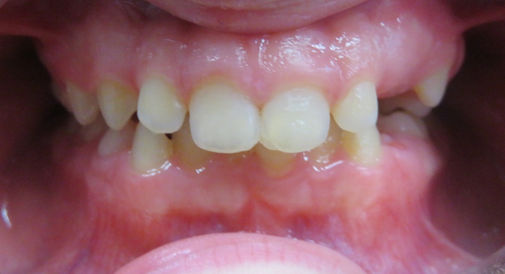
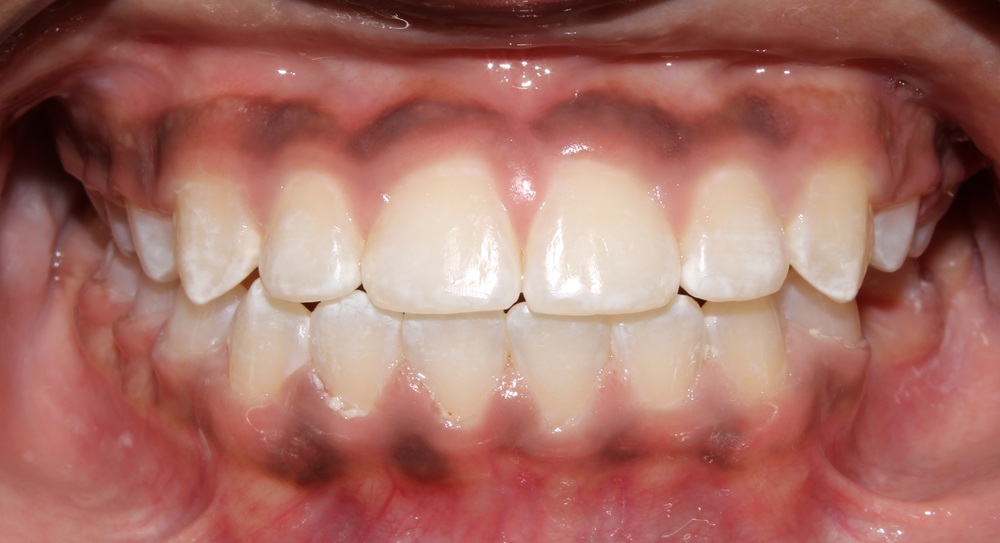
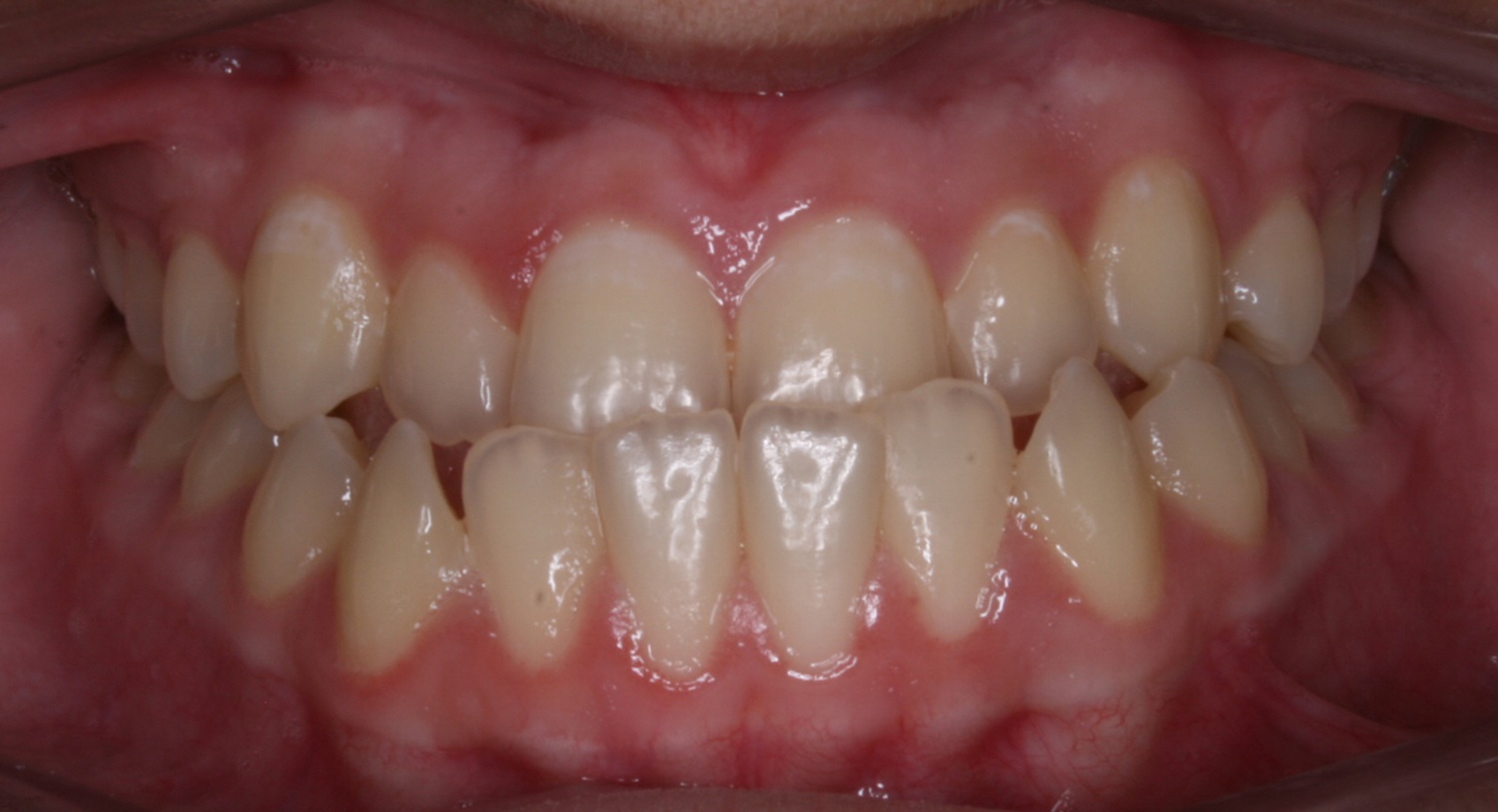
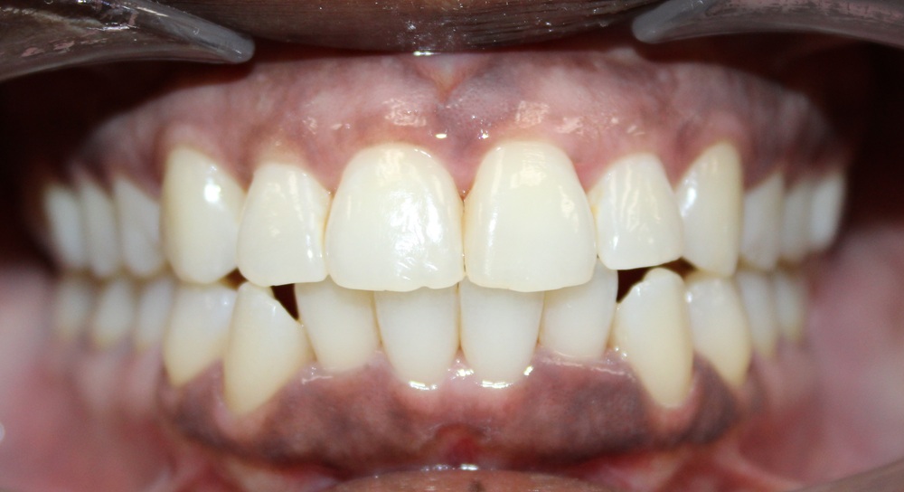
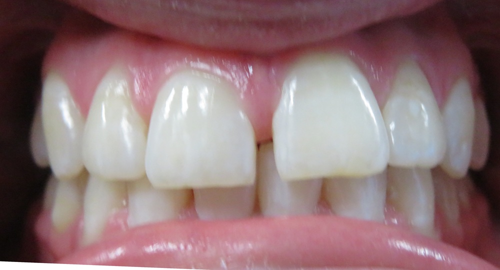
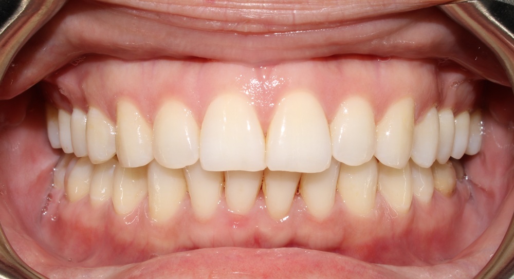
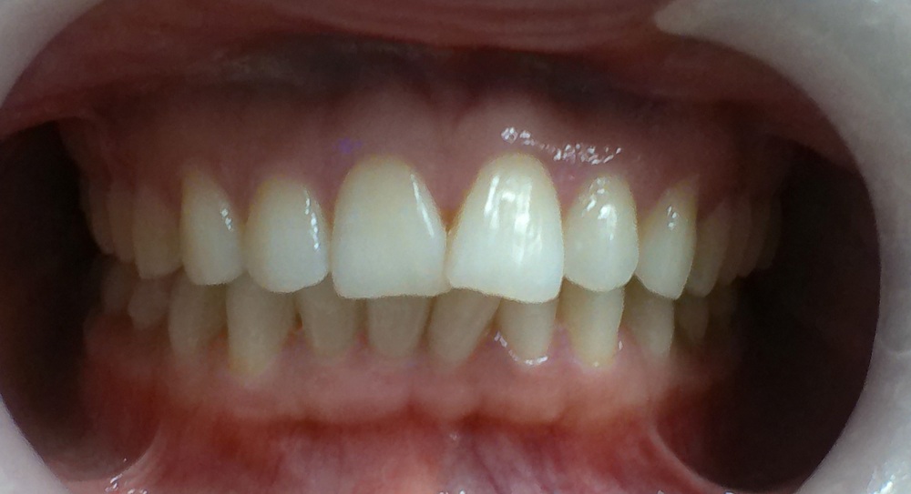
Before & Afters
Before & Afters
Real Smiles, Real Results
See how our patients transformed their smiles with care they can trust
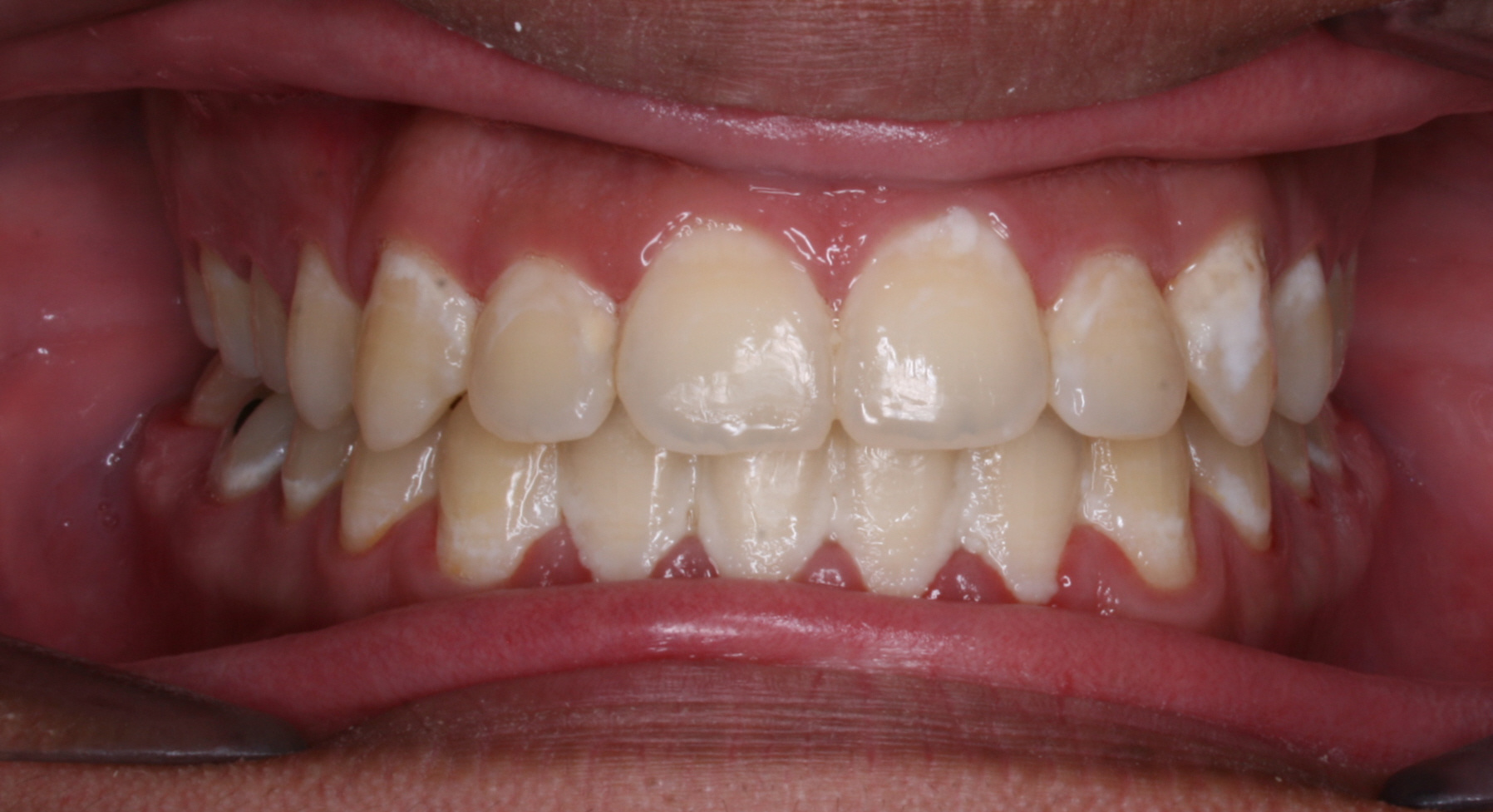
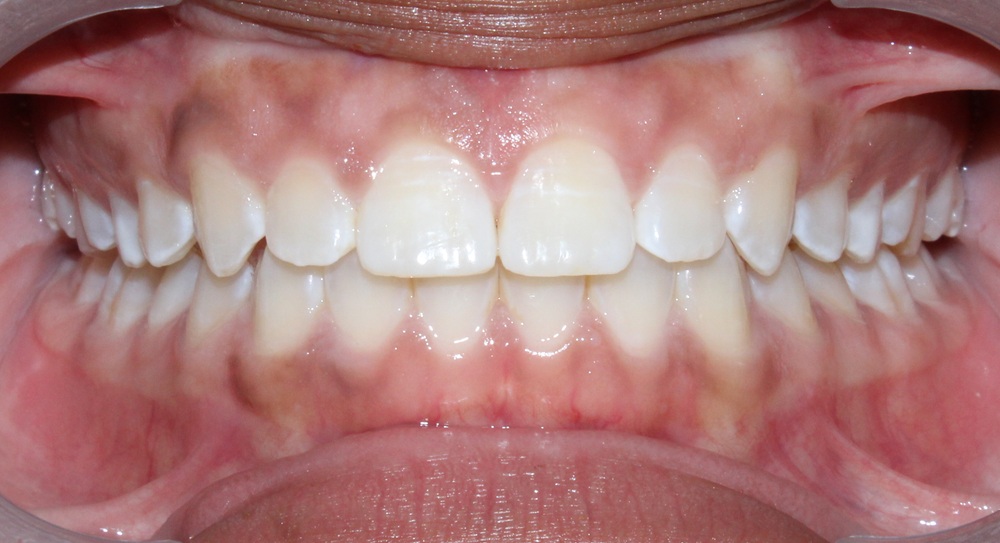
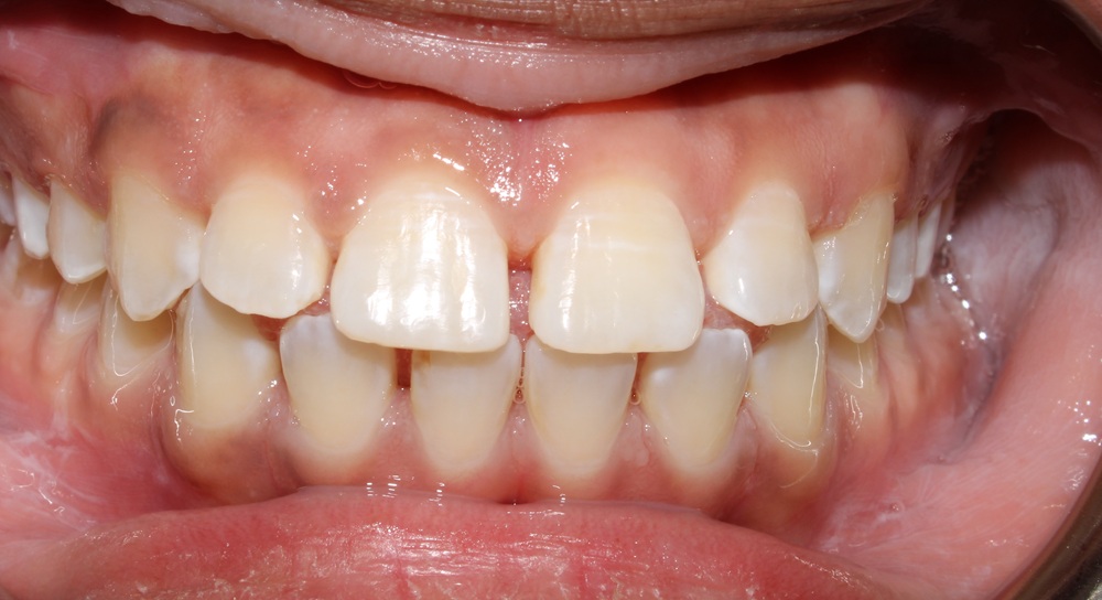
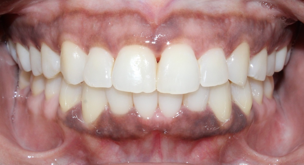
At Gaston Orthodontics, nothing brings us more joy than helping our patients achieve confident, healthy smiles. Whether it’s through traditional braces, Invisalign clear aligners, or early orthodontic care, each transformation is a reflection of personalized treatment and genuine care. Take a look at some of the incredible before and afters our patients have experienced—we’re proud to be a part of every smile journey.


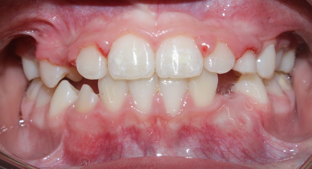
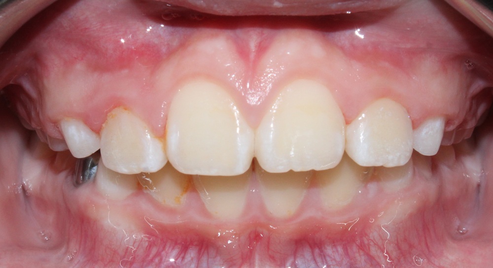
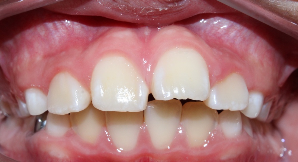
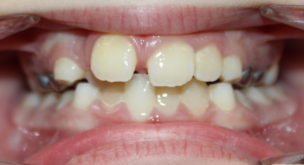
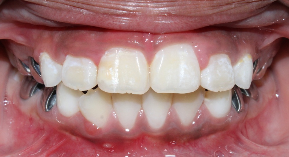
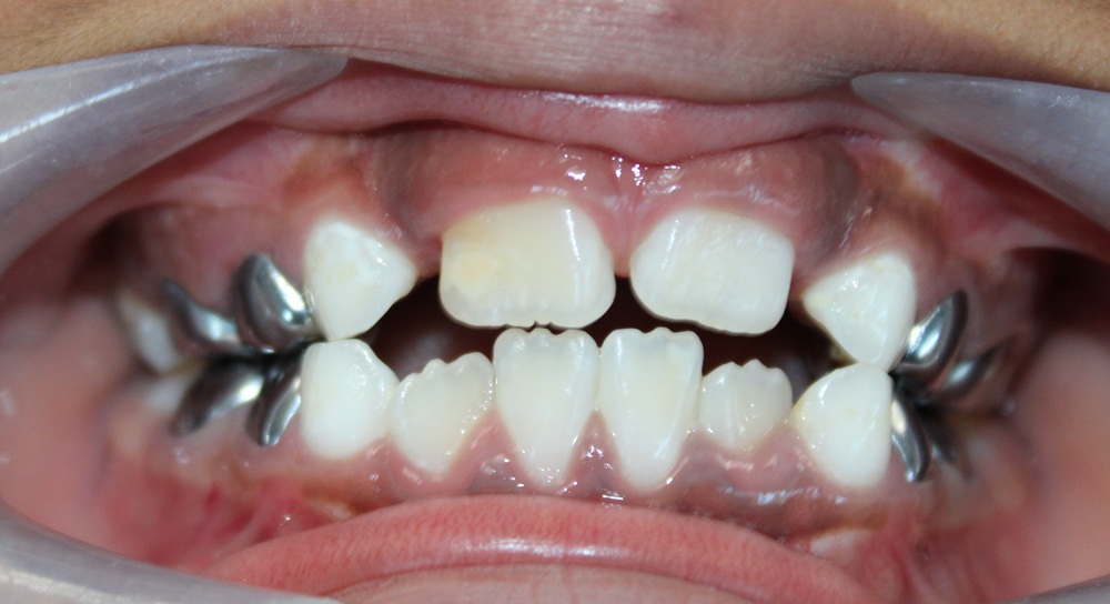
Phase 1


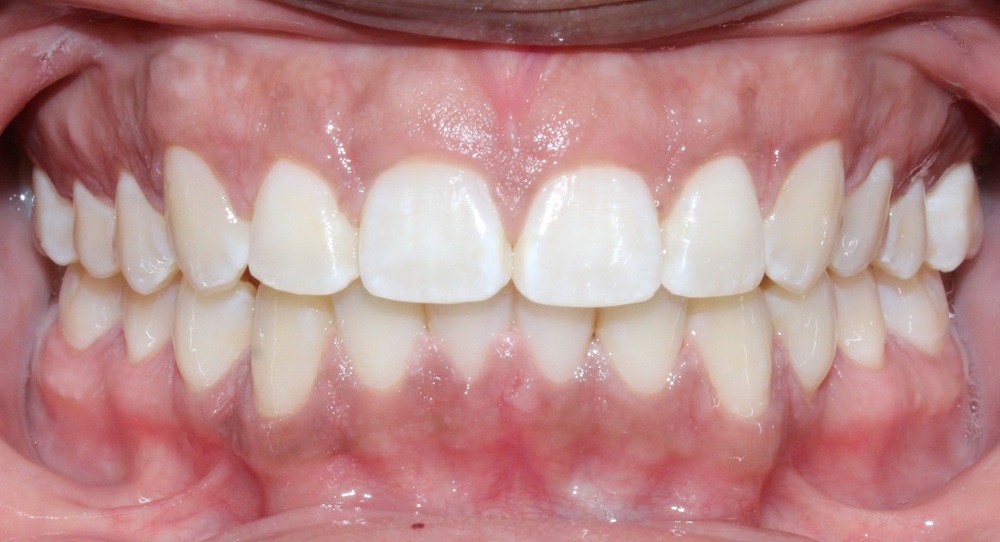
Comprehensive


Comprehensive


Comprehensive


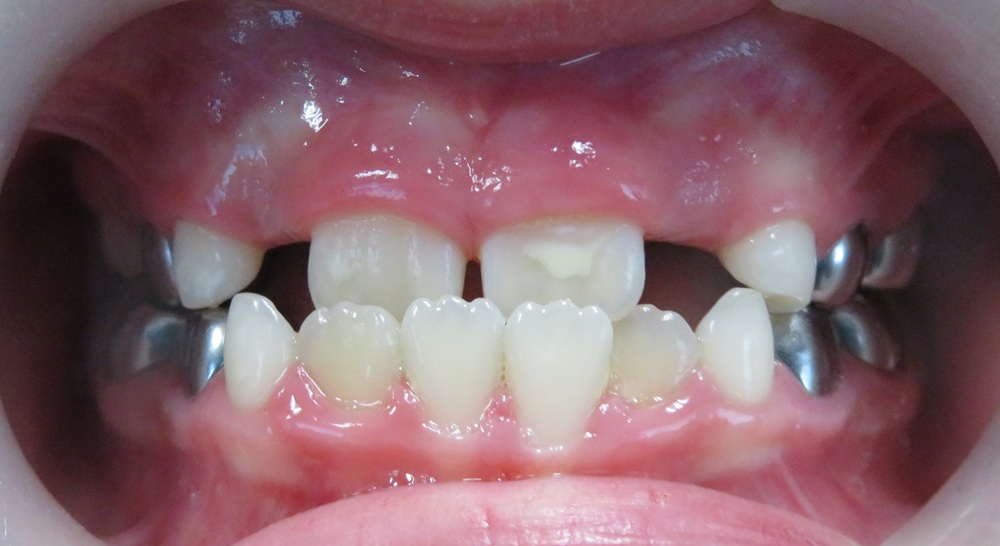
Surgical


Surgical


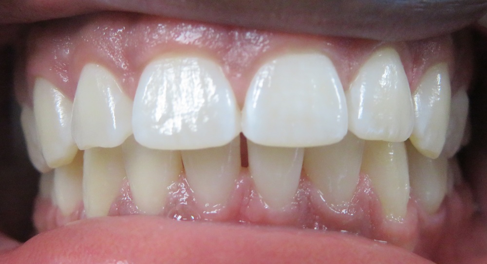
Invisalign


Invisalign


Invisalign


Invisalign


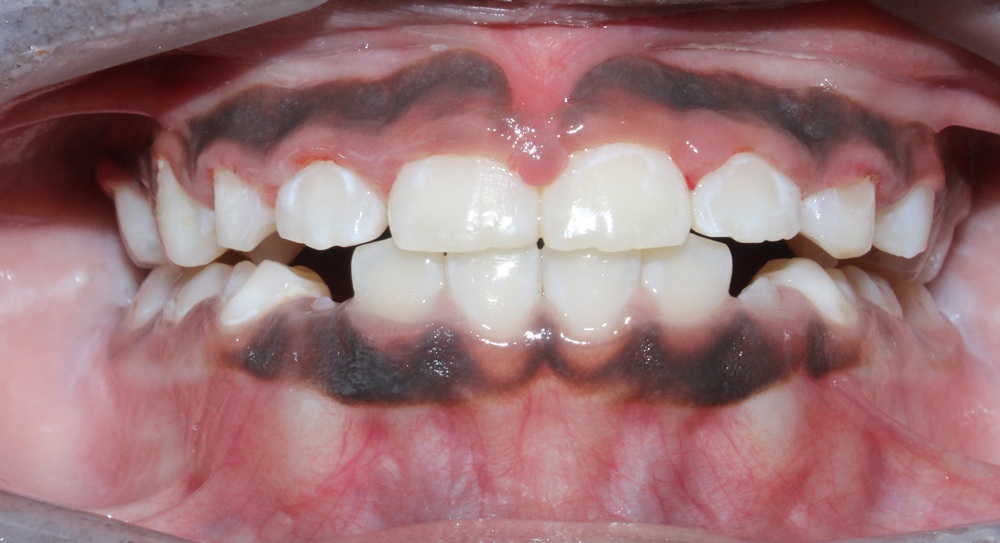
Phase 1


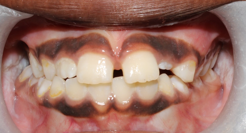
Phase 1


Phase 1


Phase 1

